Not All Chips Are Emergencies: Tooth Cracks Explained by Your Delhi Dentist

A chipped or cracked tooth can spark worry, but not every chip requires rushing to the emergency room. As dentists in New Delhi specializing in endodontics at our New Friends Colony clinic, we see these daily—from harmless surface lines to serious splits. Understanding the types helps Delhi patients decide when to book an appointment with South Delhi dentists.

Craze Lines: Superficial and Common

Craze lines are tiny hairline cracks in the enamel, the tooth's hard outer layer. They often develop from years of chewing, grinding, or temperature shifts, especially in busy Delhi lifestyles with street food and chai. These rarely cause pain or issues, but a quick exam at our dental clinic confirms they're not deeper.

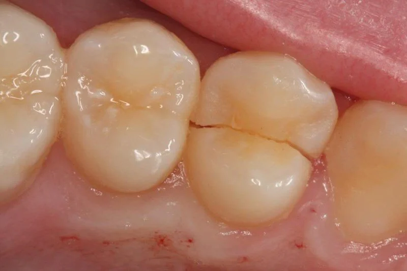
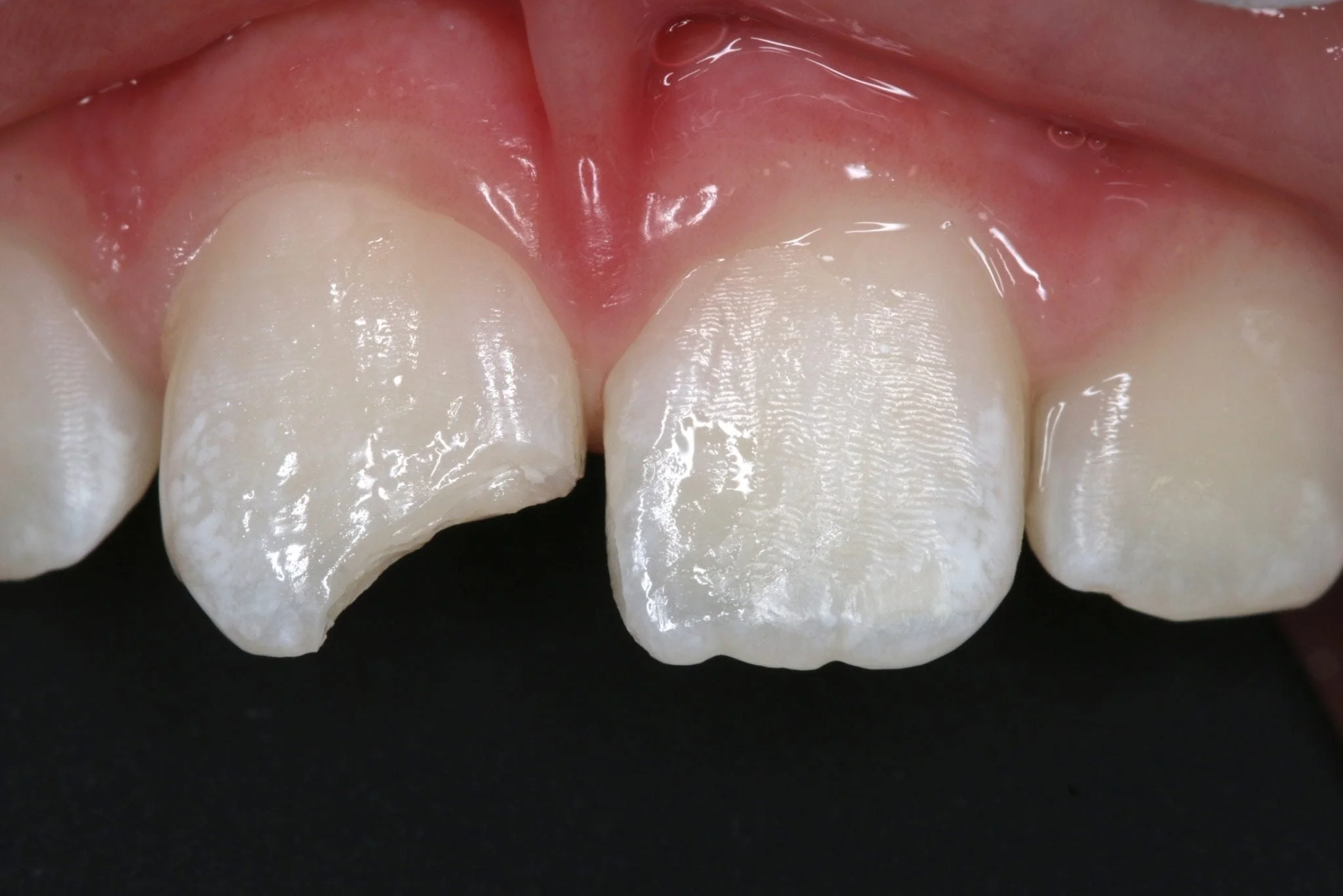
Fractured Cusp: Minor Chewing Surface Break

A fractured cusp involves a small piece of the tooth's biting surface chipping off, typically near old fillings. Pain is uncommon since it spares the inner nerve, making it a non-emergency for most. We restore these efficiently with fillings or crowns to keep your smile strong.

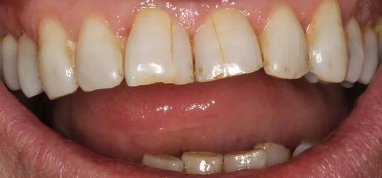
Enamel Fracture: Sensitivity Signals Deeper Damage

This fracture penetrates enamel into dentin, causing twinges from hot, cold, or sweets—common after hard foods like nuts. Delhi dentists recommend prompt bonding, smoothing, or veneers to protect and beautify. Ignoring it risks worsening cracks.

Cracked Tooth: Vertical Threat to the Root

A cracked tooth features a vertical line extending toward the root, sparking intermittent pain on biting. Early intervention with a crown can save it; delays may lead to root canal needs. Our precise X-rays at the clinic pinpoint the extent.

Split Tooth: The Most Severe Case

A split tooth divides into segments, often irreparable fully, requiring extraction or partial restoration via crowns, bridges, or implants. Prevention through regular checkups is key for South Delhi patients.

Temporary Home Care Tips

While no home remedy heals chips, these steps from Delhi dental clinics buy time:

  • Rinse with warm salt water to clean and calm.

  • Cover with sugar-free gum to shield the area.

  • Skip hard, sticky, or crunchy foods.
    Over-the-counter relief helps sensitivity short-term.

Why Visit Your Local Dentist

Unsure? See us at Friends Colony West for a thorough exam and X-rays—we tailor treatments like bonding, veneers, crowns, or root canals with care. Chipped teeth don't self-heal, but expert Endodontists restore them fully.

We hope this guide keeps your smile intact, but we're here if a chip happens!

Book Appointment!
Next
Next

Unlocking the Mystery of Jaw Pain: Everything You Need to Know About TMD, Bruxism, and Night Grinding